Temas - Pareceres - Portaria

UTI CREMESP RESOLUÇÕES

PARECERES

TRAUMA
swan08.jpg (11339 bytes) SWAN GANZ  PVC
SC-029-0198 - Neonatal ICU UTI PEDIÁTRICA
BN001767 - Physicians Checking Patients Vital Signs EUTANÁSIA-TEMA
Cranio.jpg (21195 byte) GLASGOW - ESCALA
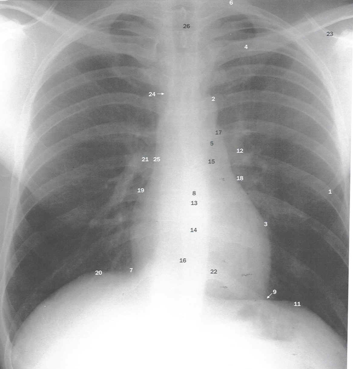
Radiologia Torácica
ERGONOMETRIA - COMPUTADOR
Cateterismo Cardíaco
  TVP